Assalamualaikum
tup2 dah seminggu tak update blog. hehehe. takde perkembangan ape stakat ni. cuma perut je makin beso dan beso. *lemak sendiri ye*. Alhamdulillah, seronok baca sorang2 M2B dah selamat bersalin. minggu ni hana yorie plak ni. Jumaat ni kalau tak silap. chayok2 hana! hehehe. So last weekend, sabtu pepagi lagi saya menapak pegi az-zahra bangi, ada checkup. awal tau pegi sbb tak nak menuggu lama. saya orang ke-dua. okay la. appointment pukul 9am. 9.30 baru doctor datang. adoiii. doctor! janji melayuss betul la. masuk dalam bilik tak sampai 5 minit!! kejap gler. doctor just tny. ada rase pergerakan baby? yup. ada. terus die cakap nk inject kancing gigi! alaaa. saya tak bersedia mental dan fizikal la doctor. mau je saya cakap camtu. tp apekan daya. senyap jela. hahaha. pastu scan baby. dalam seminit! still doctor kate. jantina kita masih tak boleh tau. grrr. time tu rase dah nk marah dah. sabar jela. then doctor tegur. naik berat badan banyak. saya timbang kt az-zahra naik 4 kilo! tekejut eden! pastu saya turun dari scale tu. saya tgk 1 kilo mmg dah terlebih! warghh. ini mendatangkan marah ni. sbb kat rumah saya timbang mmg naik 3kilo je sepanjang 6 minggu. *padahal still berat tu* hehe
doctor kate, next appointment lagi sebulan. husband terus cakap "sayang, kte terus jumpa pakar la. next month dh 7 bulan lebih" hurm. okay la. aritu mmg tak best az-zahra. macam main2 je pegi checkup. terus tawar hati nk bersalin kt sana. hurmmmm. dah la cucuk kancing gigi tu sengal smp ke hari ni. grrr. >.<"
tp ahad adalah hari yang best! yeay~~! *mood ceria, ada background gambar pelangi* ;p
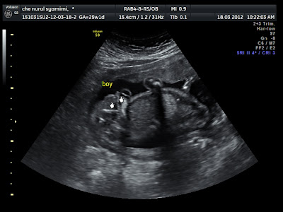
ktorang dah booking nk scan 3d dengan miss jeezlyn. saya google2 je. pastu ramai cakap best. murah. berbaloi2. saya ni kan tukang google pastu tukang report pape kt husband. husband tukang bayo je. ehehe. saya booking kt Facebook 3D 4D Scan Malaysia. ahad miss jeezlyn ada kt Hospital UMRA Seksyen 13, Shah Alam. slot saya pukul 10am. smp je diorang buat macam checkup plak. siap timbang, amek urine test. tunggu kejap. masuk la dalam bilik nk scan. cantik woo. spital dia. Miss Jeezlyn ni baik sangat. mmg best! scan je dia terus cakap. "oo. ini sula nampak dia punya jantina ni" *baca dengan nada slang cina. hehe. eh main2 plak. dan betul la kot........
boboiboy!
pastu scan 3D baby tak mo tunjuk mukaaaa!! baby pemalu orangnye. baby macam ayah kot. tak suke orang amek gambo. klau baby macam ibu. sah2 baby sengih je tengok camera. kuang3. Miss Jeezlyn lama kot pujuk die suh tunjuk muka. dia tutup da. dua-dua tangan dok kat kepala. mesti bby cakap. takmo takmo! *ok. ibu over* haha,.
saya budak pemalu! jgn tengok! hehe
takmo takmo!
Lepas pusing2 scan nk tengok dia. die still dok pusing kedalam. taknak tunjuk muka. time tu dah lebih 20 minit. dah nk dekat sejam. Miss Jeez suruh pegi keluar makan something and jalan2 dulu. Mak buyong gagahkan diri jugak la. makan roti minum air sikit. pastu dalam 15 minit camtu. die call balik. masuk scan lagi. ok la sikit. baby at least tunjuk la sipi2 muka tembam die. hehehe. tembamm pipi nyee~
tadaaa! saya tengah hisap jari la ibu. lapar ye anak ibu. cian
lepas scan 3d. saya continue scan detail which is Miss Jeez buat dalam 2d. detail scan ni die check anggota badan. kira jari kaki cukup tak 10. kira jari tangan pulak. check semua2 la. otak. organ2 dalam. nk cakap lebih pon tak reti term2 doctor ni kan. hehehe.
jantung. penting utk tahu ada penyakit jantung berlubang ke tak.
Miss Jeez cakap baby kecik sikit dari scale normal. tapi masih tak lari sangat. die kecik about 100g je. dalam graft pon nampak die ke bawah sikit. so far, kepala baby dah kt bhgian bawah. mintak2 jgn pusing ke atas ye baby. Miss Jeez tetap cakap, chances untuk baby tukar position still ada. tp kurang. Ya Allah, kau permudahkanlah semua.
doakan baby okay ye sume! harta dunia akhirat kami ni. so, next jumpa baby 14.4 plak. wee~ ^__^
I was thinking about delivered baby dekat KPMC plak. tapi doctor pakar dia doctor laki. hurmm. so far baca review macam okay je. plus bilik die agak besar and bil pon agak murah. what say you?





19 comments:
hehe bestnye... nk try la tmpt scan tu.... sy dh 6 bulan lebih pun still xtau gender bb, huu
cucuk kancing gg hari tu lenguh 2 hari je..pastu ok dah.. hee
best kan kalo wat scan 3d/4d tu.teringin nk gi kat miss jezlyn tu tp jauh la pulok.huhu.masa g kl hrtu x sempat pi pon.anyway bb kite sama gebder..boboiboy!huhu
liyana; yup. 6 bulan dah boleh tau dear. pegi la booking situ.murah pon murah.
reyna; yeay! same geng!
saye pon buat ngan Miss jeslyn tu..:)
sy pun scan kat ctu...mmg puas ati..harge pun berbaloi2..heee...:)
aty; waa..ramai buat dengan miss jezz ek
wawa; puas hati kan? mmg best r
yeay! ramai la kwn anak ciknaa nanti. geng bola kampung! hihi.pemalu la dia.. ;))
salam kenal....
heheheh suke tgk scan bby tuh...malu2 yek dia
terjoin blog ini masa cari tutorial bunge...
sudi2 lah jenguk blog dana
cik naa; yeay! geng bola kampung ni..hehehe
dana; insyaAllah. thanks for visiting my blog~ =)
beshnya..hope mimi ngn baby sihat2 selalu..=)
Mimi....
miss jeezlyn tu memang ade kat UMRA ke...? kalo camtu, dekat je dgn rumah... nanti boleh pergi...
Hmm, inject tetanus memang sengal sampai seminggu... kita dah kene inject dah check up yang kedua haritu...
So far... kakak ipar kita bersalin kat azzahra.. dia kate ok je... tapi, dia jumpa pakar terus..
kak dayah; akak doakan mimi ngn bby ek~ =)
miss; rasenye ahad die ada kt UMRA, klau sabtu die kt ampang.die tak setiap hari ada kt UMRA tu. tula. i skrg nk try jumpa pakar plak tengok camne. ok ke tak. sbb klau checkup biasa tu rase macam x puas hati.
Hi Puan Mimi :)
ms i book nk tgk scan 3d sj nk tau gender i tot dia stil kat Klinik medi nur puchong utama tu. tgk2 dia dh tak buat kat situ.huhu. i rs masa nk buat detail scan 4d tu nk try buat kat tmpt u ckp ni la. dkt je shah alam puchong kan ehehe. KPMC puchong kah? u stay in puchong? i masih pondering between KPMC,CA or hosp serdang.huhu.kalau bole nk dlm puchong.
Lisa; aah. die dah tak buat dekat medinur tu. die ada kt UMRA shah alam. dekat je puchong ke shah alam kan. hehe. i mayb pilih kpmc kajang kot. lebih dekat dengan rumah mak mertua. huhu. sbb 2 minggu nk due i mmg akan dok rumah mak mertua. columbia asia tu orang kate best jugak kan. plus die spital baru
comel okay tangan kt kepala. hahaha. kita ni tah bila nk scan tu.
etty; cepat ler scannnn~ ce tengok anak laki ke pmpn.hehehe
berapa ek umra charge untuk 3d ngan 4d skalik?
die cas rm100 utk 3d 4d. rm100 utk detail scan. tp u kena booked dengan miss jezz terus la. dekat link i bg tu
terima kasih banyak atas testimonial ye , boleh refer www.3d-4d-scan-malaysia.com atau www.bayi-ibu.com/3d-4d-scan-malaysia untuk latest package ye ... kalau tidak jumpa muka baby FREE , jantina tak nampak free untuk 22minggu keatas , REFUND kalau jantina salah .. guarantee services ye ... 2d detail scan , 5d scan>> HDlive juga available di ampang , boleh refer kat facebook untuk latest update sonographer bertugas termasuk miss jezzlyn, miss celynn, miss shanice , miss ada , miss irene di facebook >> https://goo.gl/53vyFG ... cuba klik link ni ye.. sebarang masalah semasa booking online sila sms 0176202933/0164383366 (SMS sahaja) , book sahaja bayar semua lepas scan.
Post a Comment